Aug

22

2021

Toxic Granulation

By William Aird

Toxic granulation in neutrophil from a 49-year-old man with bacteremia. Inset, higher magnification of boxed region (100x, oil).

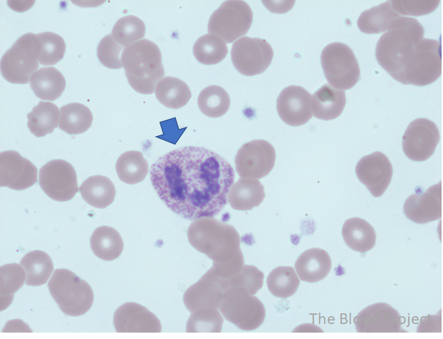
Toxic granulation in a neutrophil (arrow) from a 23-year-old woman with pyelonephritis. Multiple burr cells are seen throughout the field (100x, oil).

Toxic granulation in neutrophil from a 70-year-old man with trauma (100x, oil).
ParameterProperties
White blood cell, neutrophilToxic granulation
DefinitionToxic granulation is the presence of large purple or dark blue cytoplasmic granules (primary granules) in neutrophils, bands, and metamyelocytes. The granules are slightly larger, more numerous and have an increased staining density compared to normal neutrophil granules.
Conditions associated with toxic granulation Seen in conditions associated with increase cytokine release such as infection, burns, trauma, and G-CSF.
MechanismToxic changes result from the action of cytokines released in response to infection, burns, trauma, and G-CSF (granulocyte colony stimulating factor) and indicate a shortened maturation time and activation of postmitotic neutrophil precursors owing to decreased transit time in bone marrow.
Other findings to look forOften seen with toxic vacuolation, Dohle bodies. Together these three findings are referred to as toxic changes.
Source/authorWilliam Aird
Reviewed and edited byParul Bhargava