Aug

23

2021

Spherocytes

By William Aird

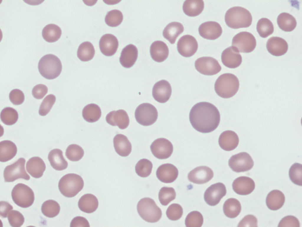
Peripheral smear from a 33 year-old woman with autoimmune hemolytic anemia shows two main populations of red blood cells: small spherocytes that have lost their central pallor and large purple-blue-stained polychromatic cells that correspond to reticulocytes (50x, oil).

High power view of peripheral smear described above (100x, oil).