Aug

24

2021

Platelet Clumping

By William Aird

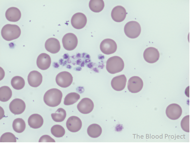
Platelet clump on blood smear from sample obtained in EDTA-containing tube (100x, oil).

This patient is a 67-year-old man with chronic kidney disease. Note the significant platelet clumping (arrows) on a blood smear from a sample obtained in EDTA-containing tube. Blood obtained this way yielded a falsely low platelet count (pseudothrombocytopenia) which was corrected when blood was taken in a heparin-containing tube (50x).
ParameterProperties
ProcessPlatelet clumping 
DefinitionPresence of platelet clumps (size not specified) on peripheral smear
DdxIn addition to anti-platelet antibodies, platelet clumping may be caused by pre-analytic errors such as over-filled or under-filled EDTA tubes, clotted specimens, or a time delay between sample collection and testing.
Conditions associated with the processPlatelet clumping may lead to erroneous platelet count
MechanismPlatelet clumping is most commonly caused by pre-analytic errors such as improper or delayed sample mixing, clotted sample, over-filled or underfilled tubes, and time delay between sample collection and testing. It can also be an ex vivo phenomenon due to EDTA-dependent antibodies. Occasionally this may occur in due to infections, drugs, cold agglutinins or immunoglobulins.
HistoryFirst reported in 1969
Source/authorWilliam Aird
Reviewed and edited byParul Bhargava
ReferencesJ Clin Med 2021;10:594