Aug

22

2021

Fish-Shaped Red Cells

By William Aird

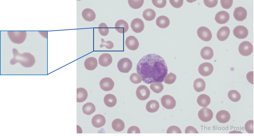
Fish-shaped red cell in a 54-year-old man with sepsis. It is as though one took the tapered end of a teardrop cell and bisected it down the middle. Inset shows higher magnification of boxed area (100x, oil).
ParameterProperties
Red blood cell, shape abnormalityFish-shaped red cell
Also known asMushroom-shaped cell
DefinitionSimilar to tear-drop cells, fish-shaped cells have one round and one tapered end. In contrast to teardrop cells, the tapered end flares out into two buds, causing the appearance of fish’s tail.
Conditions associated with the shape abnormalityNot observed in peripheral blood smears of healthy persons; found in hereditary elliptocytosis, iron deficiency anemia, lymphoproliferative disorders and myelofibrosis. The number of fish-shaped red cells on a smear has been significantly associated with severity of anemia.
Mechanism of formationUnknown
Source/authorWilliam Aird
Reviewed and edited byParul Bhargava
ReferencesClin Chem Lab Med. 2018;56:323