CASE OF THE WEEK

When a disease stops behaving like itself

Learning objectives

By the end of this case, you should be able to:

  • recognize change in tempo as a key signal of altered disease biology
  • distinguish CLL progression from Richter transformation based on clinical, laboratory, and imaging features
  • identify discordant findings (focal mass, high LDH, stable CBC) that suggest transformation
  • understand the limitations of peripheral blood and imaging in defining disease identity
  • interpret immunophenotypic shifts (e.g., CD20 loss, CD23 loss, high Ki-67) in aggressive lymphomas
  • explain why tissue diagnosis is required when disease behavior changes

Opening vignette

A 79-year-old woman with a long history of chronic lymphocytic leukemia presents with several days of worsening abdominal fullness and right upper quadrant pain.

She describes a growing “mass-like” sensation.

She has been clinically stable with slowly progressive CLL for years.

Now, the rate of change is different.

What is the most important feature of this presentation?

a
History of CLL
Important context, but not the key signal
b
Abdominal pain
Nonspecific
c
Rapid progression of symptoms
A shift in tempo is often the earliest clue that the underlying biology has changed from indolent to aggressive
d
Patient age
Relevant but not diagnostic

Teaching point:

When a chronic disease changes tempo, reassess the underlying biology.


History of present illness

  • Progressive RUQ pain over several days
  • Worse with movement
  • Decreased appetite
  • No fevers, chills, or night sweats
  • No nausea, vomiting, or diarrhea

What is the differential diagnosis for this patient?

Sort the following into categories:

Inflammatory process
Richter transformation
Infection or abscess
Pancreatic or biliary malignancy
Metastatic disease
Indolent progression
CLL-related processes
Non-CLL malignancy
Non-malignant

Teaching point:

At this stage, the task is not to name the diagnosis, but to frame the problem broadly.

In a patient with known CLL and this tempo of change, what type of process is most concerning?

a
Indolent progression of known disease
Typically slow and diffuse
b
A new or transformed malignant process
A sudden shift in tempo suggests a change in underlying biology
c
Infection or inflammation
PC. Infection or inflammation – p
d
Treatment-related effect
Does not explain a focal mass

Teaching point:

A change in tempo should prompt the question:
What kind of disease is this now?

Additional history

Five months earlier:

  • Presented with abdominal pain
  • Found to have biliary obstruction
  • Underwent ERCP with stent placement
  • Biopsy at that time was inconclusive
  • Symptoms resolved completely

How should this prior episode influence your thinking?

a
It confirms a benign process
Resolution does not exclude malignancy
b
It suggests a chronic inflammatory condition
Possible, but less consistent with recurrence
c
It raises concern for a recurrent or evolving malignant process
Recurrent obstruction in the same region suggests a structural lesion that may be evolving over time
d
It is unrelated
Unlikely given location and pattern

Reflection

Looking back, the prior episode of biliary obstruction is a warning.

Biliary obstruction is unusual in indolent CLL.

A focal obstructive process in this setting suggests a structural lesion and may represent an early manifestation of transformation.

CLL history

  • Diagnosed years earlier
  • Treated with chlorambucil, later pentostatin/cyclophosphamide/rituximab
  • Gradual progression over time
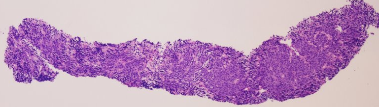
  • Recent lymph node biopsy:
    → CLL with scattered paraimmunoblasts

Physical exam

  • Palpable right upper quadrant mass (~6–7 cm)
  • No significant peripheral lymphadenopathy

What is most notable about this exam?

a
Presence of abdominal mass
Expected given symptoms
b
Absence of peripheral lymphadenopathy
This represents discordant disease distribution. CLL is typically systemic, with diffuse lymphadenopathy and lymphocytosis. A focal dominant mass without widespread disease suggests a different and more aggressive biology
c
Patient age
Not discriminatory
d
Pain with movement
Nonspecific

Laboratory data

  • Hemoglobin: 11.1 g/dL
  • MCV: 103 fL
  • Platelets: 214 ×10⁹/L
  • WBC: 3.7 ×10⁹/L
  • Absolute lymphocyte count: 1.1 ×10⁹/L
  • LDH: 778 U/L
  • Uric acid 7.6
  • Alkaline phosphatase 138 U/L
  • Creatinine: 1.6 mg/dL

   

Match each finding to its interpretation:


Stable WBC
Elevated LDH
Mild anemia
Nonspecific (chronic disease, marrow involvement, or prior therapy)
Does not exclude transformation; may reflect shift away from circulating disease
High cell turnover / aggressive process
Correct! Sorry, Incorrect.

Teaching point:

Transformation is often biochemically loud but hematologically quiet.

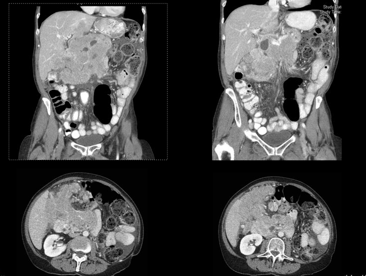
Imaging

CT scan shows:

  • Large heterogeneous right upper quadrant mass
  • No widespread bulky lymphadenopathy

What does this imaging pattern suggest?

a
Focal aggressive lesion
A large, heterogeneous, dominant mass without diffuse nodal disease supports a localized aggressive process, not typical CLL progression
b
Typical CLL progression
Usually diffuse
c
Diffuse inflammatory process
Less likely without systemic signs
d
Benign cyst
Inconsistent with clinical picture

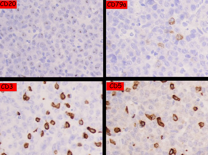
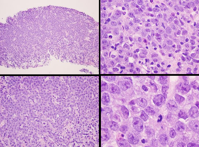
Biopsy (initial findings)

  • Large atypical cells
  • Negative for CD20
  • Negative for CD3

CT-guided Core Needle Biopsy of Abdominal Mass​

What do you make of the biopsy and immunoperoxidase findings?

Interpretation

Loss of lineage markers creates diagnostic uncertainty.

CD20 negativity does not exclude B-cell lymphoma
→ may occur after prior therapy or in aggressive disease

What is the next best step to secure a definitive diagnosis?

a
Repeat peripheral blood studies
b
Begin empiric therapy
c
Observe
d
Perform additional tissue studies

Additional studies

  • PAX5 positive
  • Ki-67 high
  • CD23 negative

What do these findings indicate?

a
Indolent CLL
Low proliferation expected
b
Reactive process
Ki-67 too high
c
High-grade B-cell lymphoma
PAX5 confirms B-cell lineage despite loss of surface markers. High Ki-67 indicates aggressive proliferation. Loss of CD23 (typically present in CLL) supports transformation to a different phenotype
d
T-cell malignancy
Inconsistent markers

Sort the following features:

Focal mass
Stable CBC
Rapid growth
High LDH
Lymphocytosis
Transformation:
CLL progression:

Diagnosis

The mass represents a high-grade B-cell lymphoma (diffuse large B-cell lymphoma) arising in a patient with known CLL.

This is Richter transformation.

What is Richter transformation?

Richter transformation refers to the development of an aggressive lymphoma in a patient with chronic lymphocytic leukemia.

  • most commonly transforms to diffuse large B-cell lymphoma (DLBCL)
  • less commonly to Hodgkin lymphoma
  • represents a change in disease biology, not simply progression
  • typically presents with rapid clinical deterioration, focal mass, and elevated LDH
  • often arises through clonal evolution of the original CLL, though some cases represent a second, unrelated lymphoma

How would you treat this patient?

Treatment framework

  • treat as aggressive lymphoma (DLBCL)
  • regimens such as R-CHOP or equivalent
  • consider clinical trials
  • prognosis worse than CLL

Key insight

When tempo, distribution, and laboratory signals become discordant, reconsider the diagnosis.

Closing reflection

Chronic diseases teach us patterns.
Transformation breaks them.

The challenge is not recognizing what fits.

It is recognizing when something no longer does.

Prev
 1 / 37 
Next